T-Skin / Human Full Thickness Model

T-Skin Full Thickness Model
Name

T-SkinTM / Reconstructed Human Full Thickness Skin Model

Description

T-SkinTM is an in vitro reconstructed skin which consists of a dermal equivalent with human fibroblasts overlaid by a stratified, well differentiated epidermis derived from normal human keratinocytes cultured on an inert polycarbonate filter.

This model exists at different stages of maturity.

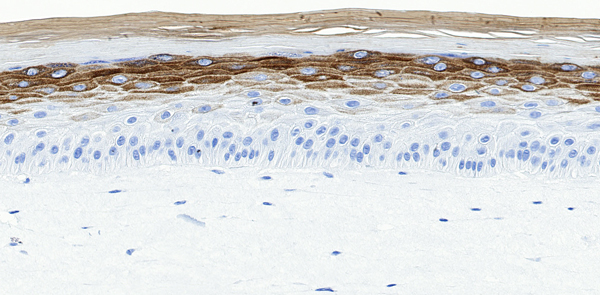
Specific markers

Differentiation markers:

Dermal-Epidermal junction markers

Proliferation markers

in vitro

Applications

Format